Рентген зубов повышает риск развития рака мозга
Рентген на данный момент считается наиболее надежным, но и самым опасным методом диагностики. Однако, несмотря на то, что действие радиации на больного в медицине сейчас стало минимальным, делать рентген зубов очень уж часто не рекомендовано.
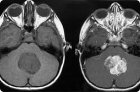
Американские научные работники пришли к выводу о том, что люди, часто делающие у стоматолога обыкновенные рентгеновские снимки собственных челюстей, в большей степени рискуют обрести менингиому - доброкачественная опухоль, растущая из паутинной мозговой оболочки.
Исследованием занималась группа ученых-нейрохирургов под начальством доктора Элизабет Клаус (Elizabeth Claus) из Йельского института, которая представила результаты проделанных исследований в журнале Cancer.
Исследования велись Элизабет Клаус и ее коллегами с 2006 года: всего испытание прошли 1,443 человека с болезнью менингиома, возраст больных составлял от 20 до 79 лет. Помимо прочего в исследованиях участвовали 1,350 здоровых людей, у которых была необходимость в посещении рентген-кабинета у дантиста, но не имеющих менингиому.
Самый высокий риск развития менингиомы приходится на людей, проходивших не реже 1 раза панорекс – рентген всей полости рта. У этой группы людей менингиома встречалась в 3 раза чаще, по сравнению с людьми, которые не посещали рентген-кабинет. Наибольший риск данного болезни приходится на деток возрастом до 10 лет. Существенным фактором исследователи называют и медицинское оборудование, используемое при рентгеновской съемке зубов. Новые рентген-аппараты наносят наименьший вред человеку.
По советам ученых, чтобы максимально минимизировать риск болезни менингиомой, необходимо минимизировать посещение рентгенологического кабинета. При всем этом обычная процедура рентгена всего рта рекомендуется с последующей частотой проведения: детям до 10 лет – не больше одного раза на протяжении 1-2 лет, школьникам и подросткам – один раз на протяжении 1,5-3 лет, а взрослым – не чаще одного раза в 2-3 года.
Менингиома считается доброкачественной опухолью. Она увеличивается довольно медленно и вовсе не считается столь уж опасной угрозой для организма человека. Хотя в отдельных случаях она приводит к инвалидности и практически стопроцентной утрате трудоспособности





